

You want to fix your smile but…
Dental visits make your stomach drop.
You worry about being judged, rushed, or pushed into decisions you are not ready for.
Past experiences taught you to delay, avoid, and overthink.
And every delay quietly chips away at confidence, comfort, and long-term health.
Clear, pressure-free information to help you know about the process and what implants are.
This is for you if you are struggling with missing or broken-down teeth and finding that it is impacting your day-to-day life.
Our approach is simple and human.
A calm, education-first consultation that explains your options without pressure.
You get clarity before commitment.
Confidence before decisions.
One gentle conversation can replace years of uncertainty.
Dr Karthik Lakkaraju
Principal Dentist
Dr Karthik Lakkaraju graduated with a Bachelor of Dental Surgery in India in 2004 and completed his Australian Dental Council examinations in 2008. He has since built extensive experience practising in Australia and continues to develop his skills in advanced dentistry.
After joining a clinic in Queensland, Dr Karthik further developed his surgical dentistry skills, followed by advanced training in dental implant procedures in 2016. With a strong interest and talent in implant dentistry, he now regularly provides implant treatment for our patients and also assists colleagues by placing implants for their patients.
Dr Karthik takes a calm and thoughtful approach to patient care, particularly when helping patients with missing or failing teeth. He focuses on careful assessment, clear explanations, and realistic treatment planning so patients can understand their options and make decisions at their own pace.
He is committed to ongoing education and regularly participates in professional development and study groups to stay up to date with modern techniques and best practices.
Outside the clinic, Dr Karthik enjoys spending time with his wife and two young boys, and staying active through cricket and badminton.
Trusted by local Balcatta families and adults who value gentle, long-term dental care.
Our clinic is built around education, consent, and patient comfort.
Patients leave feeling heard, respected, and in control of their choices.
Some google REVIEWS Images ot direction to open in another window.

What you get:
A private, one-on-one consultation
Clear explanation of implant and smile options
Honest guidance tailored to you
Time to ask questions without feeling rushed
We are not here to take your money and do what we want; we are here to get you the teeth you desire with honesty and clear, transparent help.
You walk away calm, informed, and confident about your next step, even if that step is waiting.


Flexible Payment Options
We understand dental implants can feel like a big financial decision. Our team will always explain costs clearly so you can make informed choices without pressure.
To help make treatment more manageable, we work with trusted finance providers who may allow you to spread the cost into manageable repayments, subject to approval.
Available providers include:
Humm
TLC (Total Lifestyle Credit)
Pretty Penny Finance
Our team can guide you through the options and help you find a payment plan that suits your situation.
Using Super for Dental Treatment
(eligibility criteria apply)
You may be able to access their superannuation to help fund necessary dental treatment through the Australian Taxation Office’s Compassionate Release of Superannuation program.
We work with experienced providers who assist with this process, including:
Access My Super
SuperCare
If you would like to explore whether this option may apply to you, our team can explain the process and connect you with the appropriate provider.



If treatment is right for you, we clearly explain what that would look like.
If it is not, we tell you that too.
No obligation. No awkward pressure.





Yes. The consultation is free and focused on education and clarity only.
You are never obligated to proceed.
If implants are something you wish to explore further, a 3D X-ray is required for accurate assessment. This can be done on the day for $350 (this comes off the treatment when you proceed), but only if and when you feel ready.
We believe in fair, transparent pricing. There are no secret mark-ups and no false discounts. You will always receive honest, achievable pricing, clearly explained upfront.
No. You choose if and when you proceed. You are welcome to take time to process the information, ask questions, and plan. We can start the process only when you feel ready.
That is completely normal here. You will never be judged. We are here to support you and create a plan moving forward, not to look back or judge past attendance.
Absolutely not. This consultation is about understanding your options, not committing to treatment.
We explain what influences cost so there are no surprises later.
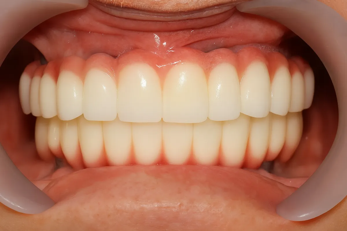
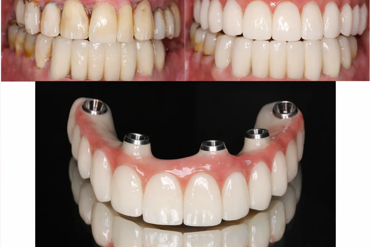
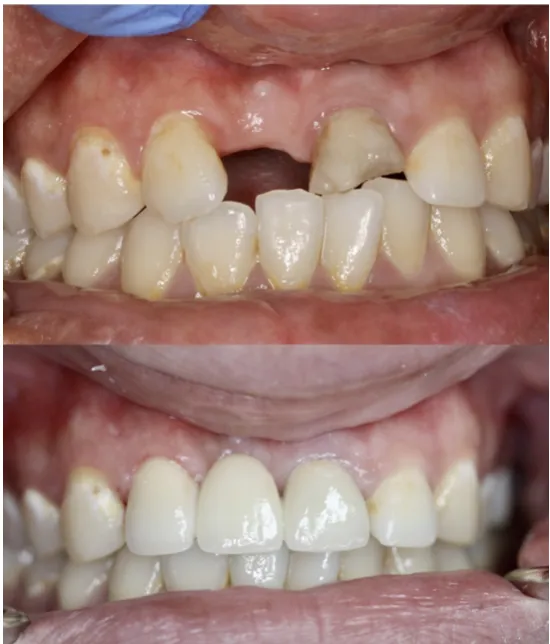
A single implant starts from $5,500.
Full arch replacement starts from $14,000 (removable) and $24,000 (fixed).
Yes. We work with reputable lenders who may be able to help you access payment plan options for eligible patients.
Yes, for eligible patients. We work closely with superannuation providers to ensure compliance and ATO requirements are met.
Feel calm. Get clarity. Stay in control.
Limited consult spots available to ensure unrushed care.

© Copyright 2026. Comfort Care Dental. All Rights Reserved.